画像強調内視鏡


経鼻内視鏡に2種類のレーザー光を組み合わせることで微かな異常も見つけやすいため

 胃がん 食道がんの早期発見に役立っています 

 波長の異なる2種類のレーザー光の発光比率を変え,粘膜表層の微細な血管や構造などを強調して表示する「Blue LASER Imaging(BLI)機能」や,画像の赤色領域のわずかな色の違いを強調して表示する画像処理機能「Linked Color Imaging(LCI)」などにより,微小な病変の観察をサポートする内視鏡システムです。

画像ギャラリー


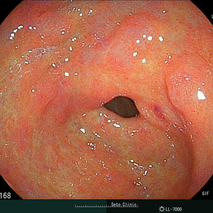
萎縮の無い健康な胃粘膜

萎縮性胃炎の胃体上部粘膜

早期胃がん Ⅱc

萎縮性胃炎の前庭部